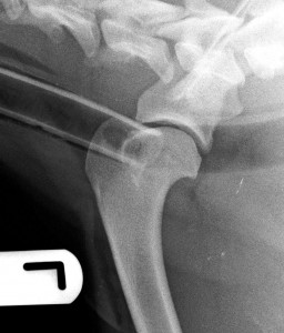
The articular cartilage over part of the humerus that forms part of the shoulder joint can under-run and fragment during development. Signs usually start around 6-7 months of age.
Lameness is usually seen and there is discomfort on manipulation of the shoulder joint. Cartilage flaps can break off. The usually end up in the pouch of joint capsule behind the shoulder, but they can end up in the front of the joint in the pocket of joint that sits around the biceps tendon. They can cause significant pain in this location. The cartilage flaps often go on and mineralise to become boney densities.
Shoulder OCD is often apparent on simple x-rays. The possibility of OCD being present can be investigated with contrast x-rays or arthroscopy. It can be treated with arthroscopy or open surgical management,. Cartilage fragments and flaps are removed. The site from which the cartilage originated can be encouraged to fill will with fibrocartilage by creating forage holes with a fine drill/pin, and recruiting a blood supply from the underlying humeral head.
Shoulder OCD cases generally do well. There will inevitably be some degenerative joint disease, but this is generally well tolerated and manageable in the shoulder joint.
19th July 2014



